Retractia gingivala / recesiunea gingivala este procesul prin care marginea gingivala se misca in lateral, astfel desprinzandu-se de suprafata dintelui. Si, de regula, aceasta poarta denumirea de „retractie gingivala”. Aceasta poate fi, insa, si o metoda chirurgicala, parodontologica, realizata prin procedee mecanice, chimice sau electrice. Ea se realizeaza respectiv pentru lucrari reparatorii mai ample asupra radacinii dintelui. Totusi, daca este sa ne referim la recesiunea gingivala, aceasta este un fenomen natural, de regula inflamatoriu, al gingiei.
Marginea gingivala libera este interfata dintre sulcus / epiteliul sulcular si cel al cavitatii orale. Or, aceasta interfata exista la punctul cel mai de sus al coroanei gingivale altfel cunoscuta ca si creasta a gingiei marginale.
Din cauza faptului ca o mica parte a gingiei, situata deasupra procesului alveolar al maxilei / gingiei libere, nu este legata de periosteum, care inconjoara osul dintelui, aceasta este mutabila. Dar, din cauza prezentei inclusiv a fibrelor gingivale, gingia asa-zis libera ramane lipita de suprafata dintelui. Si, in cazul in care aceasta este trasa inapoi, printr-o sonda periodontica sau prin actiunea perilor duri ai unei periute de dinti, se intampla retractia gingivala.
Cauti acum informatii despre o afectiune stomatologica, banuiesc. Poate te intrebi cum ai ajuns aici, daca ai fi putit face ceva pentru a evita neplacerea si ce poti face pe viitor pentru a o evita. Exista o metoda de igienizare ce ar putea scadea dramatic TOATE neplacerile cauzate de afectiunile stomatologice. DESCARCA ACUM GRATUIT descrierea metodei prin apasarea acestei legaturi, si imbunatateste-ti sanatatea gurii.
Gingia si coloriturile ei ...
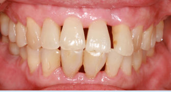
Gingia sanatoasa prezinta, de regula, o culoare descrisa drept „roz–coral”. Gingiile, insa, mai pot fi si de alte culori, precum: rosie, alba si chiar... albastra! Iar, in acest sens, o gingie albastra, este una care semnifica o gingivita / inflamare a tesutului gingival.
De vreme ce coloritul principal al gingiei poate varia, uniformitatea acestuia este mai importanta decat cel secundar - de dedesubtul gingiei -, depozitele de melanina putand cauza „pete negre” / pelicule pe gingii, altfel cunoscute ca hiperpigmentatii gingivale melaninice.
La polul opus, depigmentarea sau bleaching-ul gingiei poate fi si rezultatul indirect al unei proceduri cosmetice din stomatologie, respectiv pentru a indeparta aceste semne ale decolorarii din cauza hiperpigmentatiei.
Acum, gingivita poate fi rezultatul catorva factori, precum: grosimea si gradul de cheratinizare al epiteliului, fluxul sangvin in gingie, pigmentarea naturala, alte afectiuni si medicatii.
Gingia si aparentele sale ...
Gingia sanatoasa prezinta o aparenta „dantelata” in jurul fiecaruia dintre dinti. Or, un asemenea epiteliu normal umple si se potriveste fiecarui spatiu interdentar. Spre deosebire de papilele gingivale tumefiate, respectiv in cazul gingivitei sau in cel al unei brese nterdentare. Si, spre deosebire de gingia afectata de diverse boli periodontice, care are marginile „pufoase” sau „rulate”, cea sanatoasa tine dintele strans pe suprafata gingivala, iar marginea ei este subtire precum o lama bine ascutita. Astfel, gingia sanatoasa prezinta o textura ferma, foarte rezistenta la deplasare, iar suprafata acestei texturi prezinta, si ea, „punctari”.
Cea bolnava, insa, nu prezinta asemenea trasaturi. Iar, de aici si pana la retractie gingivala, aproape ca nu mai este decat un pas... parodontotic.
O gingie sanatoasa nu va manifesta vreo reactie la interactiuni normale, precum ar fi cazul periajului dentar sau cel al sondarii parodontotice. Una bolnava, le va manifesta sub forma unor sangerari gingivale sau a unor exudate purulente.
Gingivita, retractia gingivala si bacteriile ...
Studii recente de parodontologie au aratat faptul ca steroizii anabolizanti pot fi asociati direct cu largirea gingivala, astfel fiind nevoie de o gingivectomie / retractie gingivala pentru cele mai multe dintre cazuri. Retractia gingivala se manifesta printr-o miscare apicala a marginii gingivale fata de suprafata ocluzala a dintelui, despre care am discutat si inDantura - Ce trebuie sa stim despre dintii nostri.
Mai mult, aceasta procedura se realizeaza de urgenta atunci cand este vorba despre inflamarea locala a gingiei / parodontoza sau chiar despre pioree / exudat purulent. Alte afectiuni care pot necesita o retractie gingivala sunt: formatiunea de buzunar, stomatita cronica sau deplasarea mecanica si involuntara a gingiei fata de suprafata dintelui, cel putin prin periaj.
Retractia gingivala mecanica si involuntara sau mecanica, dar voluntara / chirurgicala, poate lasa dintele expus stimulilor externi. Mai exact, pulpa dentara poate fi expusa in asemenea fel, rezultand o hipersensibilitate a radacinii.
In stomatologie, recesiunea gingivala reprezinta expunerea radacinii dintelui cauzata de pierderea de tesut gingival si/sau de retractia marginii gingivale de la coroana dintelui. Or, recesiunea gingivala reprezinta o problema destul de des intalnita, mai ales la adultii de peste 40 de ani. Dar, desigur, se poate intampla si adolescentilor uneori. Mai mult, recesiunea gingivala poate sa se manifeste cu sau fara descresterea concomitenta a osului alveolar.
Cauze posibile ...
Retractia gingivala nu este o afectiune acuta, in genere. De fapt, in cele mai multe dintre cazuri, gingiile retractante reprezinta o afectiune naturala si progresiva, care tine de-a lungul anilor. Din acest motiv, este o caracteristica a adultilor trecuti de 40 de ani. Or, retractia gingivala poate sa treaca neobservata mult timp.
Exista cateva cauze posibile pentru recesiunea gingivala, si anume: bruxismul / scrasnirea dintilor, insuficienta sau friabilitatea / fragilitatea tesutului gingival, periajul sau flossing-ul necorespunzator, hiperaciditatea stomacala, mestecarea de tabac, hipersensibilitatea fata de anumiti detergenti, diverse afectiuni parodontale, scorbut, miscarea naturala a dintilor permanenti, dispunerea gresita a dintilor, piercing-urile linguale / de pe limba sau labiale / de pe buze, indepartarea chirurgicala a gingiei pentru a lasa dintele sa creasca.
Micro-ecosistemul din cavitatea gingivala este alimentat continuu de reziduuri si saliva, care fac posibila cultivarea multor microorganisme, respectiv care pot fi benefice sau daunatoare sanatatii gingiei, in genere. Or, in acest caz, igiena orala inadecvat intreprinsa poate duce la diverse afectiuni periodontice, incluzand aici mai ales gingivita sau parodontoza.
Simptomatologia in retractia gingivala ...
Simptomele, in caz de retractie gingivala, sunt, si acestea, destul de variate, si anume: hipersensibilitatea dentinei in caz de pierdere a cimentului protector de la baza – pot rezulta dureri acute si lungi sau acute si scurte, provocate de interactiunea cu lichidele si alimentele -, alungirea aparenta a dintilor – odata retrasa gingia, mare parte a coroanei vizibile adauga la acest efect -, expunerea radacinii dintilor, senzatia de instabilitate a dintelui la linia gingiei, schimbarea coloraturii dintilor, aparenta maririi spatiilor interdentare, aparitia cariilor subgingivale.
Intre tratare prin... tabiet si bisturiu ...
Tratamentul ar trebui sa inceapa prin adresarea problemei care a cauzat retractia gingivala, in primul rand. Astfel ca, daca periajul sau flossing-ul agresiv este cauza, pacientul ar trebui sa se gandeasca la a-si cumpara o periuta de dinti mai moale. Si, tot din perspectiva tabietului sau zilnic, sa-si spele cu mai multa delicatete dintii. Iar, daca detartrarea nu s-a mai efectuat de ceva timp, pacientul ar trebui sa se prezinte din nou la cabinet.
Acolo, la cabinet, pentru a mai opri din avansul retractiei gingivale, medicul stomatolog poate sa execute detartraje simple sau profunde.
In egala masura, daca placa bacteriana este cauza, stomatologul poate sa curete zona prin procedee specifice. Si, la final, daca ocluzia / muscatura dintelui este gresita inca de la eruperea dintilor, atunci se pot efectua ajustari ocluzale sau se pot aplica proteze dentare sau realiza tratament ortodontic. Iar, in cazuri severe, se pot aplica grefe gingivale pentru a se putea crea mai mult tesut. Cu alte cuvinte, in functie de forma retractiei gingivale si a nivelului de tesut osos din jurul dintelui, procesul acesteia poate fi inversat prin generarea de grefe, respectiv de catre un parodontolog.
Aceste grefe se pot recolta din: diverse zone ale gurii pacientului, membrane naturale sau matrice dermale acelulare - care sunt criogenate -, dar si din membrane sintetice. Si, in acest sens, cercetarile actuale se concentreaza pe utilizarea celulelor-stem pentru a se putea creste gingii noi din propriile celule gingivale ale pacientului.
O grefa gingivala este denumirea generica pentru orice procedura parodontologica / chirurgical-dentara al carei scop este sa acopere o zona expusa a suprafetei radacinii dintelui, respectiv cu un tesut bucal prelevat. Iar aceasta acoperire poate realiza un intreg set de obiective, precum: prevenirea altor expuneri, descresterea sau eliminarea hipersensibilitatii dentare, descresterea susceptibilitatii de cariere si alte imbunatatiri de ordin cosmetizant.
Mai mult, aceste proceduri se intreprind, de regula, sub anestezie locala, pacientul putand fi constient sau nu. Prin urmare, vi s-ar putea sugera inhalosedarea. Cat priveste inversarea in sine de retractie gingivala, gingia adiacenta se poate repozitiona pentru a acoperi retractia. Aceasta ar fi o grefa-„petic”. Alte grefe se pot preleva din sursele mentionate anterior. De asemeni, in caz de aplicare de grefa la o retractie gingivala, se poate folosi tesut conector de pe bolta palatina.
Procesul de dinaintea reconstructiei ...
Mai intai, in caz de retractie gingivala, vi se va efectua o amprentare gingivala fluida – materialul este vascos - cu polivinil sau poliester sau, daca nimeriti la un cabinet ultraperformant, se va folosi un scaner intra-oral. Or, din punctul de vedere al tehnologiei de varf de azi, scanarile intra-orale pot ajuta parodontologul sa va amprenteze cu maxima precizia zona afectata de retractie gingivala.
Acum, exista cateva metode de retractie gingivala sunt in uz in stomatologia de azi, si anume: corzile de retractie, laserul, electrochirurgia – chirurgie prin impulsuri electrice scurte si minime -, amprentarea cu fir de cupru, amprentarea hidraulica – cu jet lichid -, precum si alte materiale hemostatice si non-traumatice.
Cat despre coarda de retractie gingivala, aceasta este unul dintre cele mai populare sisteme folosite in parodontologie, iar aceasta trasatura se datoreaza faptului ca respecta parodontiul.
Aceste corzi de retractie gingivala contin agenti hemostatici, precum clorura de aluminiu, astfel impiedicandu-se sangerarea abundenta a gingiei si erorile la amprentare. Si, odata ce corzile au fost indepartate, respectiv dupa ce stratul de sulcus a fost indepartat in primul rand, parodontologul va putea amprenta zona cu materialul mentionat anterior.
La final, ceea ce se poate spune despre reconstructia osoasa ghidata, este anume faptul ca ea reprezinta o tehnica prin care cresterea naturala a dintelui este incurajata simtitor. Si ca aceasta se poate realiza inclusiv prin prelevarea si aplicarea unei matrice / membrane dermale acelulare, care contine tesut osos dentar demineralizat.
Vindecarea post-operatorie, in caz de retractie gingivala, dureaza de obicei intre 2 si 4 saptamani. Iar, dupa alte cateva luni, rezultatele pot fi evaluate, unele tesuturi necesitand a fi remodelate prin proceduri minore. Si, ceea ce este cel mai important, in cazuri in care o retractie gingivala nu este insotita de pierderea tesutului osos al dintelui, acoperirea totala sau partiala a zonei afectate este posibila! Or, la coroanele dentare si punti, totusi, procedura parodontologica, in caz de retractie gingivala, poate fi putin mai anevoioasa.
